Бруксизм

Опубликовано: 25 ноября 2014 в 18:24

Бруксизм - что этоДля данного заболевания характерно наличие такого симптома, как скрежет зубами, который является непроизвольным. Бруксизм может возникнуть при сильном эмоциональном напряжении, или во сне. Специалисты называют различные причины данного нарушения. Это патологии сустава, дефекты строения челюсти. Кроме того, существует ошибочное мнение, что бруксизм представляет собой результат наличия в организме глистов. Известно, что бруксизмом страдает примерно три процента населения, и от данного заболевания никто не застрахован. Подобное состояние не зависит от пола, возраста. Но, как показывает практика, чаще ему подвержены дети.

Главной проблемой бруксизма можно считать такой фактор, что он крайне отрицательно влияет на зубы, суставы, мышцы, ухудшает психологическое состояние. Бруксизм подразделяется на ночной и дневной. Как правило, дневное проявление заболевания спровоцировано эмоциональным напряжением, проявляется в дневные часы, во время бодрствования. Для ночного бруксизма характерен скрежет зубами, когда человек спит. Диагностировать заболевание не сложно, это касается и взрослых пациентов, и детей. Обычно подобное состояние быстро замечают родственники, близкие люди. Сам человек не замечает, что во сне издает скрежет зубами.

Симптомы бруксизма

Бруксизм лечениеВ некоторых случаях, когда процесс запущен, отмечаются типичные для бруксизма признаки. В частности, пациенты отмечают сильные боли в области лицевых мышц, болезненность в области височно-нижнечелюстного сустава. Кроме того, зубы расшатываются, стираются, становятся гиперчувствительными. При бруксизме присутствует головная боль, могут возникать болезненные ощущения в шее, даже в спине. В ушах звон, болезненность. Днем страдающему бруксизмом человеку всегда хочется спать, часто возникают депрессивные состояния, нарушается аппетит, отмечается вестибулярное головокружение. Больной испытывает раздражение по любому поводу, имеются жалобы на чрезмерную чувствительность глаз, покалывание в голове.

Для подтверждения диагноза требуется проведение полисомиографического исследования, благодаря которому можно точно зафиксировать сокращение жевательных мышц, которое является непроизвольным и судорожным. Психологи считают, что причиной бруксизма следует считать наличие сильных комплексов, возникающих на уровне подсознания, которые нет возможности реализовать в действительности. Из-за данной внутренней установки человек напрягается, злится, стискивает зубы. Подтвердить диагноз может полисомиографическое исследование, которое точно фиксирует такой симптом как непроизвольное судорожное сокращение жевательных мышц.

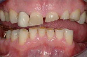
Чем опасен бруксизм

Скрежет зубовПо мнению специалистов, бруксизм не следует считать тяжелым заболеванием. Тем не менее, скрип зубами доставляет немало неприятностей, если человек длительное время не в состоянии от него избавиться.  В некоторых случаях, зубы не просто повреждаются, они практически стираются под корень.  Следует отметить, что страдают при этом не только натуральные зубы, значительно снижается срок службы имеющихся ортопедических конструкций. Образуется патологическая подвижность зубов, наблюдается рецессия десны.

Важно и то, что при регулярном скрипе по ночам может серьезно пострадать психическое здоровье человека. Человек, подверженный бруксизму, не отдыхает по ночам как следует, потому что его организм не способен полностью расслабиться. В итоге имеется регулярное недосыпание, чрезмерная утомляемость, и в итоге, депрессия. Следует принимать во внимание и то, что в современных многоквартирных домах толщина стен между комнатами не обеспечивает идеальной звукоизоляции. Поэтому, скрежет зубов будет будить всех домочадцев, что тоже очень быстро скажется на их здоровье, ведь хроническое недосыпание имеет множество негативных последствий.

Лечение бруксизма

Бруксизм в детском возрастеЕсли у вас или ваших близких обнаружен бруксизм, то не следует мириться с данным состоянием, так как с проблемой можно успешно бороться. Основной задачей при выборе терапии при бруксизме является расслабление жевательных мышц. Главная трудность лечения обусловлена сложностью выявления причины, и на сегодняшний день этот вопрос широко обсуждается специалистами в области стоматологии. Какую именно методику лечения выбрать, зависит от характера развития заболевания, степени запущенности и формы.

Известно, что случаи бруксизма у детей в раннем возрасте нередко проходят самостоятельно. Что касается взрослых пациентов, то здесь требуется особое внимание. Чем раньше вы выявите бруксизм, тем эффективнее будет проведенная терапия. Например, для быстрого лечения дневного бруксизма важно, чтобы сам пациент с ответственностью подошел к проблеме. То есть, человек должен сам стараться избавиться от привычки скрипеть зубами в случае нервного напряжения. К тому же, если имеются признаки волнения, жевательные движения должны быть сведены к минимуму.

В таких случаях особой эффективностью отличается психотерапевтическое воздействие. Подобное влияние имеет направленность на обозначение конфликта, его осознание. Пациент должен развивать в себе способности максимально эффективно преодолевать различные трудности, возникающие повседневно. Если принимать во внимание, что одна их первостепенных причин бруксизма – это стресс, то здесь будут действенными  многие методики, помогающие противостоять этому состоянию.

Пациенту может быть рекомендовано прослушивание любимых музыкальных композиций, чтение книг, прогулки, ароматические ванны. Обязательно следует побывать на консультации у психолога, так как в этом случае ценные советы специалиста обеспечат успешное преодоление стрессовой ситуации. Лечение ночного бруксизма отличается тем, что сам пациент не может контролировать процесс, поэтому требуется использование специальных ночных капп, сделанных из мягкого пластика либо резины. Приспособление надевается во время сна на зубы, чтобы не допускать их стирания, если возникнет ночной приступ бруксизма.